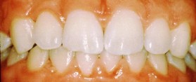
Plaque is a sticky form of bacteria that forms on our teeth. It can not only destroy the teeth but also lead to the development of pneumonia, as it actively develops bacteria and there is little arguing to the statement that plaque can turn into tartar gradually. To get rid of this problem, you can … Continue reading How to Get Rid of Plaque
Copy and paste this URL into your WordPress site to embed
Copy and paste this code into your site to embed