Difference Between Euchromatin and Heterochromatin

Our body is composed of billions and trillions of cells and each cell contains a nucleus located in its centre. The nucleus is composed of chromatin, a combination of deoxyribonucleic acid (DNA) and proteins. According to biochemists chromatin is defined as “the DNA, protein, RNA complex extracted from eukaryotic lysed interphase nuclei”. Special type of proteins, commonly known as histones, are the primary protein components of chromatin. The chromatin packages the deoxyribonucleic acid (DNA) into smaller volumes so that they can fit in the cell, strengthens the DNA to allow mitosis, and prevents it from damage. It also controls the gene expression and the replication of deoxyribonucleic acid (DNA).
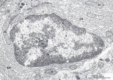
The chromatins are divided into two types, the euchromatin and heterochromatin. The structure and function of these two types of chromatins are quite different. They also differ in their transcription and replication properties.
When marked and observed under the “light microscope”, heterochromatins are tightly packed, dark coloured strands, while euchromatins are loosely packed light coloured strands. Besides their colour and structure, heterochromatins and euchromatins also differ in their shape and size. Euchromatins have a standard structure which is unfolded and elongated, and have a size of 10nm microfibril. On the other hand, the structure of heterochromatins can be modified using position effect variegation (PEV) modifiers.
Euchromatins aid in cell survival while the heterochromatins are responsible for gene expression. The former functions in the transfer of deoxyribonucleic acid (DNA) to messenger RNA (mRNA) products, while the dense packing of the latter ensures chromosomal integrity.
During mitosis and meiosis, when a parent cells divides into two daughter cells, it is heterochromatin that is usually inherited by each daughter cell. This new heterochromatin is actually responsible for epigenetic inheritance.
Euchromatin is highly active as compared to heterochromatins. Moreover, the former is present in both prokaryotes and eukaryotes, while the latter are present only in eukaryotes.
Instructions
-
1
Euchromatin
Euchromatin is one of the two most common types of chromatins, comprised of DNA, RNA and proteins. These lightly packed DNA sheltering structures are mostly found in the inner body of the nuclei of a cell. They are rich in gene concentration and are constantly under active transcription. It comprises the most active part of the genome. In human beings, 92% of the genome comprises of euchromatin.
Image courtesy: missinglink.ucsf.edu
-
2
Heterochromatin
Heterochromatin is tightly packed chromatin (DNA and proteins) that is usually found at the periphery of the nucleus. It comes in different varieties and is present in eukaryotes only.
Image courtesy: cytochemistry.net





